尖銳濕疣的病發原因是什么?陜西省老醫協生殖醫學醫院男科表示:近幾年尖銳濕疣的發病率不斷提升,其中男性受其的影響明顯大于女性。指出,人們如果能夠了解男性尖銳濕疣病因,那么可以幫助人們做好尖銳濕疣的防治工作,從而降低尖銳濕疣對于自身生活的影響。下面我們詳細介紹一下男性尖銳濕疣的病發原因。

什么是尖銳濕疣?
男性尖銳濕疣又稱生殖器疣,或性病疣,是由人乳頭病毒引起的一種良性皮膚、粘膜損害。它主要發生在患者生殖器或周圍皮膚、牯膜或皮膚粘膜移行部,為柔軟的、粉紅色的乳頭狀的增生。本病在性活躍的人群中發病率榜首,性接觸追蹤觀察發現,與有尖銳濕疣患者發生性接觸的人至少三分之二以上也患此病。少數可通過日常生活用品,如內褲、浴巾、浴盆而傳染,為我國目前常見的性傳播疾病之一。
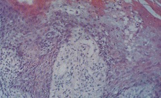
男性尖銳濕疣的發病機制發病部位肉眼可見散在疣狀或乳頭狀損害。組織病理檢查可見表皮角化不全,棘層高度肥厚,表皮突增厚延長,呈乳頭樣增生,表皮與真皮之間界限清楚。其真皮水腫,毛細血管擴張,周圍有較致密的慢性炎癥細胞浸潤。
男性尖銳濕疣病因:
人類乳頭病毒屬于DNA病毒,人是惟一宿主。其傳染途徑為:直接傳染,與患尖銳濕疣患者發生性接觸而傳染此病。間接傳染,接觸被人類乳頭病毒污染的生活用品,如內褲、浴巾、浴盆、浴室、便器等間接接觸傳染。
溫馨提示:以上是陜西省老醫協生殖醫學醫院的對于男性尖銳濕疣病因的簡單介紹,希望能夠增強人們對于尖銳濕疣的認識,從而幫助患者早日擺脫尖銳濕疣的影響。如果人們想獲得更多關于尖銳濕疣的相關知識,可以了解詳情我們。
本站所有文章均來自網絡,如有侵權,請聯系刪除
響應國家衛生部號召,同時也為提升本院服務水平、緩解廣大患者看病難、排隊長的現狀,陜西省老醫
協生殖醫學醫院積極響應號召,并于09年起開展網上了解詳情的服務,如果您有男女生殖健康與不孕癥疾病相關疑問可以通過網絡預約或熱線電話與醫生直接溝通,以獲得有效的醫療服務和幫助!
姓名:李剛
職稱:交大二附院(外科學博士)
簡介:姓名:李剛,職稱:外科學博士,西安交通大學第…【詳情】
姓名:王路軍
職稱:主治醫師
簡介:王路軍 主治醫師 姓名: 王路軍 職稱: 主治…【詳情】
姓名:王中琨
職稱:主任醫師/教授
簡介:王中琨 主任醫師/教授 姓名: 王中琨 職稱: …【詳情】
姓名:董生軍
職稱:主治醫師
簡介:從事泌尿外科臨床工作多年,行醫嚴謹認真。對…【詳情】
姓名:萬小文
職稱:主治醫師
簡介:多年來一直從事泌尿外科臨床工作,具有扎實,…【詳情】
姓名:陳鴻清
職稱:執業醫師
簡介:從事泌尿外科臨床工作多年,行醫嚴謹認真。對…【詳情】
姓名:卜建石
職稱:副教授/副主任醫師
簡介:卜建石教授是西京醫院泌尿外科副主任醫師,教…【詳情】
老醫協生殖醫學醫院在陜西只有陜西省老醫協生殖醫學醫院(市醫保、二級醫院)一家醫院,絕無分院,地址是:西安市碑林區興慶北路105號(西京醫院往南300米路東),請患者就醫時慎重選擇,謹防上當受騙。
陜西省老醫協生殖醫學醫院
防偽驗證熱線:029-8324 6120